Orthodontiste à Senlis (Oise) - Dr Jean-Marie LANDEAU
ACCUEIL
LE CABINET
PLATEAU TECHNIQUE
PLAN D'ACCES
URGENCES
FICHES CONSEILS
CAS CLINIQUES
RDV EN LIGNE
ACCUEIL
LE CABINET
PLATEAU TECHNIQUE
PLAN D'ACCES
URGENCES
FICHES CONSEILS
CAS CLINIQUES
RDV EN LIGNE
Orthodontiste à Senlis (Oise) - Dr Jean-Marie LANDEAU
12 Bis rue du Moulin Saint Rieul 60300 Senlis (Oise)
+33 3 44 60 93 93
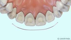
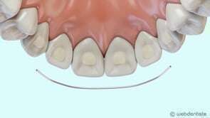
Fil de contention
Vidéos 3D
Partager
Twitter
Partager
Partager
Envoyer
Copier
Orthodontiste à Senlis (Oise) - Dr Jean-Marie LANDEAU
12 Bis rue du Moulin Saint Rieul
60300
Senlis (Oise)
+33 3 44 60 93 93
Pour en savoir plus
Politique de confidentialité et charte cookie
Mentions légales
Conditions Générales Utilisation
Charte déontologique
Ordre national
Annuaires chirurgiens dentistes
Orthodontiste à Senlis (Oise) - Dr Jean-Marie LANDEAU
Création par
Connexion